dentiste Strasbourg centre, christian Valle

Paro médicale protozoaires

Paro médicale protozaires

Publications sur parodontite et protozoaires

De nombreux articles parlent de la corrélation entre présence de parodontite et présence de protozoaires avec destruction osseuse perte de l’os de soutient des dents, poches parodontale

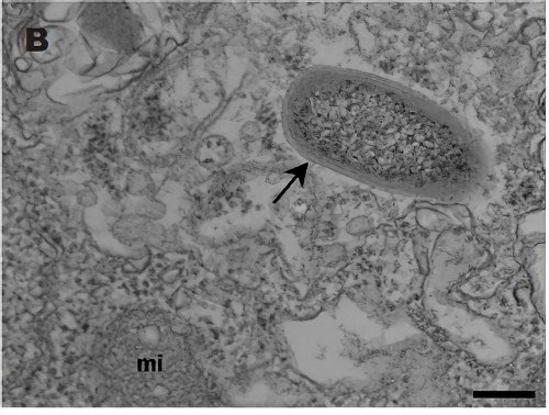
A Possible Function of Entamoeba histolytica in the Creation Models.

Conclusion

The case can clearly be made for creation as we see overt design features of parasites and their symbiotic or mutualistic association in man. However, explaining or suggesting purpose and function of parasites (that is, E. histolytica) before the Fall, and the morphological and physiological changes they evidently underwent, requires extensive reflection and, when possible, research. The original function of E. histolytica can only be theorized. The complex physiology and ecology of this protozoan (for example, immune system evasion and bacterial flora interaction) indicates as yet unexplained pre-Fall/Curse functions. Researchers have discovered that a number of commensals are in fact critical factors. A synthesis of organosubstrate model with single-celled eukaryotes may help in our understanding of free-living amoeba (or originally mutualistic amoeba) and their transition to parasitism.

Paro médicale protozoaires

Paro médicale protozoaires Bacteries

Interactions Hôtes Pathogènes

Les pathogènes exploitent ou modulent les fonctions de leurs cellules hôtes et dans de nombreux cas, mettent en place différentes stratégies pour contrecarrer les mécanismes de défense cellulaire.

L’exploration croisée des aspects moléculaires et cellulaires est donc une approche privilégiée dans le domaine de la recherche sur les pathogènes. Cette vision a motivé la création de notre département, dédié aux recherches à l’interface entre la microbiologie et la biologie cellulaire, et associant les compétences et approches complémentaires de scientifiques et de cliniciens.

Paro médicale protozoaires

Institut Cochin

Chlamydia - host cell interactions :

les avancées récentes sur l’entrée de bactéries intracellulaires et leur développement.

Alice Dautry-Varsat 1, María Eugenia Balana 1, Benjamin Wyplosz 1 (08/2004)

Les bactéries de l’ordre des Chlamydiaes poussent dans les cellules humaines et animales, et même dans les amibes.

Ils remplissent plusieurs fonctions essentielles à leurs cellules hôtes, établir un environnement favorable intracellulaire pour leur multiplication et à la sortie de la cellule-hôte. Ils se multiplient dans un organite appelé à l’inclusion, qui est différent de l’endocytose, mais pas la voie exocytic. Une combinaison de facteurs de la cellule hôte et de protéines sécrétées par les bactéries, au sein de l’inclusion, va contribuer à la création et au développement de cette inclusion.

Ici, nous passons en revue les données récentes sur les mécanismes d’entrée et de la maturation de l’inclusion.

  • Biologie des Interactions Cellulaires (BIC) CNRS: URA2582
  • Institut Pasteur de Paris domaine: Sciences du Vivant / Biochimie, Biologie Moléculaire / Biologie moléculaire  CNRS: URA2582 – Institut Pasteur de Paris

Paro médicale protozoaires

Amoebae-resisting Bacteria

Amoebae feed on bacteria, and few bacteria can resist their microbicidal ability. Amoebal coculture could therefore be used to selectively grow these amoebae-resisting bac- teria (ARB), which may be human pathogens. To isolate new ARB, we performed amoebal coculture from 444 nasal samples. We recovered 7 (1.6%) ARB from 444 nasal swabs, including 4 new species provisionally named Candidatus Roseomonas massiliae, C. Rhizobium massili- ae, C. Chryseobacterium massiliae, and C. Amoebinatus massiliae. The remaining isolates were closely related to Methylobacterium extorquens, Bosea vestrii, and Achromobacter xylosoxidans. Thus, amoebal coculture allows the recovery of new bacterial species from heavily contaminated samples and might be a valuable approach for the recovery of as-yet unrecognized emerging pathogens from clinical specimens.

Paro médicale protozoaires Amoeba resisting bacteria

Amoeba-Resistant Microbes

Amoebae pose a unique threat to the healthcare environment. Not only are they pathogenic in their own right, but they can also function as “Trojan horses” that can harbor and safely transport Amoeba-resistant strains of bacteria, viruses, and occasionally fungi(1). Amoeba-resistant organisms are defined as those microbes that have evolved to resist destruction by free-living amoeba(1). Some Amoebaresistant microbes cannot be engulfed by amoeba, while others can survive and grow after internalization and subsequently return safely to the environment(1). Amoebae have been recovered from drinking water, cooling towers, and hospital water networks(1). They often live on biofilm and other water-soil, water-air, and water-plant interfaces(3). When they are confronted with harsh environmental conditions that threaten their survival, they convert to a resting form known as a cyst(1). Amoeba cysts are resistant to chlorination, adverse pH, osmotic pressure, and temperature(1). Free-living amoebae have demonstrated resistance to hyperchlorination treatment of complex water delivery systems(2).

Paro médicale protozoaires Amoeba resisting Microbes

Amoeba-Resistant Microbe Facts :

Studies have confirmed that free-living amoebae are necessary for Legionella multiplication in water biofilm, although they may survive in a latent state in biofilm without amoebae(4)

Microbes that are engulfed by amoebae are encased in internal structures called vesicles. A single vesicle inside an amoeba may harbor thousands of Legionella bacteria(5,6).

When an amoeba containing L. pneumophila encysts to protect itself from adverse environmental conditions, it may protect L. pneumophila from the effects of chlorine(7).

The survival of Mycobacterium avium within amoeba cysts has been well documented(8,9).

Contamination of intensive care unit tap water led to a cryptic epidemic of ventilatoracquired pneumonia caused by L. anisa(10).

Amoeba-Resistant Microbes and Point-Of-Use Filtration :

Free-living Acanthamoeba spp. measure 15-45 microns in diameter, while their cysts measure 10-25 microns in diameter(11). They and the Amoeba-resistant microbes that they might harbor are therefore easily retained by point-of-use 0.2 micron filters.

Some waterborne amoeba-resistant microorganisms include the following :

Legionella pneumophila

Other Legionella spp.

Pseudomonas aeruginosa

Burkholderia cepacia

Burkholderia pseudomallei

Mycobacterium avium

Mycobacterium fortuitum

Mycobacterium simiae

Flavobacterium spp.

 

L'utilisation de la PCR pour détecter Entamoeba gingivalis dans les poches gingivales malades et démontrer son absence dans les sites en bonne santé gingivale.

Robert D. Trim- Michael A. Skinner· Mary B. Farone­John D. DuBois· Anthony L. Newsome

Résumé :

Les chercheurs utilisant la microscopie optique ont identifié le parasite protozoaire Entamoeba gingivalis dans les poches gingivales de gencive malade depuis près de 100 ans.

L’objectif de la présente enquête était de développer une méthode de biologie moléculaire pour la détermination de la présence de gencive E. gingivalis dans les deux types de sites gingivaux : sains et poches pathologiques

Pour cela, une technique classique précédemment développé, la réaction en chaîne par polymérase (PCR) a été évaluée et PCR en temps réel a été développée. Des pointes de papier ont été insérées dans la base du sillon gingival des deux types de sites : poches gingivales pathologique et site gingival sain. L’ ADN a été extrait en utilisant le kit QIAamp DNA mini, et analysées en utilisant la suite l’analyse « PCR conventionnelle » et « PCR en temps réel ».

Un jeu d’amorces spécifiques décrites précédemment pour la sous-unité du ribosome gène petit ARN (SSU rDNA) de E gingivalis a été utilisé pour la PCR conventionnelle.

Pour la PCR en temps réel, un ensemble d’amorces a été conçu pour amplifier un fragment de 135 pb à l’intérieur de l’ADNr SSU de E. gingivalis.

Un test PCR conventionnelle détectée lis gencive E. dans 27% des malades poches gingivales. La PCR en temps réel en utilisant un autre jeu de protozoaires amorce a détecté dans 69% des sites de poche malades. Ainsi, cette dernière technique s’est montrée plus sensible pour la détection de E. lis gencive. Aucun E gingivalis n’a été détectés dans les sites gingivaux sains quel que soit le type d’analyse PCR. Ces résultats appuient le concept que la présence de E. gingivalis gencive est associé uniquement aux poches gingivales malades . La nouvelle méthode décrite peut donc servir à fournir un marqueur de cellule eucaryote évaluant l’état de la maladie dans les poches gingivales.

Trichomonas et parodontites

Prevalence of Oral Trichomoniasis in Patients with Periodontitis and Gingivitis Using PCR and Direct Smear.

*A Athari 1, L Soghandi 1, A Haghighi 1, BKazemi 2

  1. Dept. of Parasitology and Mycology, School of Medicine, Shaheed Beheshti Medical University, Tehran, Iran
  2. Cellular and Molecular Biology Research Center, Shaheed Beheshti Medical University, Tehran, Iran


(Received 28 Nov 2006; accepted 5 Jul 2007)

Conclusion :

L’étude a révélé une dépendance entre la fréquence d’apparitionde T. tenax et l’état de la parodontite.

La procédure actuelle PCR pourrait offrir une méthode de détection simple et rapide de l’infection par thrichomonas dans les parodontites.

Iranian journal of public health

Adresse

30 rue du 22 novembre

67000 STRASBOURG

Tél : 03 88 22 28 11

Liens

  • Ordre nationale des chirurgiens dentistes
  • Mentions légal